
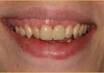
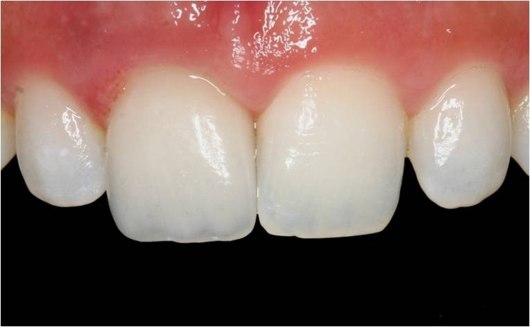
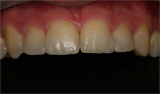
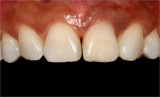
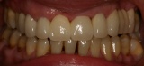
Η επιθυμία όλων μας είναι να έχουμε ένα καλύτερο χαμόγελο που θα ταιριάζει με το πρόσωπό μας.
Η αισθητική οδοντιατρική σας προσφέρει με διάφορες μεθόδους ανανέωση του χαμόγελου σας, αποκαθιστώντας τα σπασμένα, φθαρμένα, αποχρωματισμένα, στραβά, αποχρωματισμένα ή δόντια με κηλίδες.
Για την εξασφάλιση της αισθητικής επιτυχίας πρέπει να γίνεται διαγνωστική προσέγγιση του αισθητικού προβλήματος μεταξύ οδοντιάτρου και ασθενούς. Κατά τη διάρκεια του συμβουλευτικού σας ραντεβού, η ομάδα μας, με γνώσεις και εμπειρία στην αισθητική οδοντιατρική θα συνεργαστεί μαζί σας για να βρείτε μαζί το πιο κατάλληλο σχέδιο θεραπείας για εσάς.
Είναι σημαντικό να γίνει εξατομικευμένη σχεδίαση του χαμόγελού σας με τέτοιο τρόπο ώστε τα δόντια σας να έχουν το ιδανικό σχήμα και μέγεθος σε σχέση με τα χείλη και το πρόσωπο σας, με αποτέλεσμα να δημιουργηθεί ένα αρμονικό χαμόγελο.
Χρησιμοποιούμε τις πιο εξελιγμένες μεθόδους και οδοντιατρικά υλικά για να εξασφαλίσουμε ότι οι αποκαταστάσεις θα προσφέρουν ομορφιά και λειτουργία με διάρκεια.
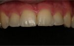
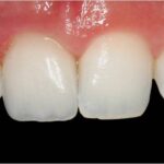
Όψεις
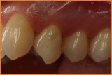
Σύνθετες Ρητίνες Οπίσθιων Δοντιών
Ένθετα Επένθετα
Quality Control System
Lorem ipsum dolor sit amet, consetetur sadipscing elitr, sed diam nonumy eirmod tempor invidunt ut labore et dolore magna aliquyam erat, sed diam voluptua. At vero eos et accusam et
Highly Professional Staff
Lorem ipsum dolor sit amet, consetetur sadip scing elitr, sed diam nonumy
Fermentum purus fermentum
Χρησιμοποιούμε τις πιο εξελιγμένες μεθόδους και οδοντιατρικά υλικά για να εξασφαλίσουμε ότι οι αποκαταστάσεις θα προσφέρουν ομορφιά και λειτουργία με διάρκεια.


















































